Dark or uneven gum color can make even perfectly aligned, white teeth look less attractive. Many people in India and globally feel conscious about black or brown gums, especially while smiling, speaking, or appearing on camera. This is where gum depigmentation comes in a modern cosmetic dental procedure designed to restore natural pink gums and boost smile aesthetics.
Whether caused by genetics, smoking, or pigmentation disorders, dark gums are not harmful but they can impact confidence. Fortunately, gum depigmentation offers a safe, effective, and increasingly popular solution in advanced dental clinics.
Gum depigmentation is a cosmetic dental procedure that removes or reduces dark pigmentation from the gums using laser, surgical, or chemical methods. It helps restore a natural pink gum appearance, improving smile aesthetics without affecting oral health or gum function.
Before opting for gum depigmentation, it’s important to understand the root causes of gum discoloration.
1. Genetic Factors: Some individuals naturally have higher melanin levels, leading to darker gums. This is especially common in Indian and African populations.
2. Smoking (Smoker’s Melanosis): Nicotine stimulates melanin production, causing dark patches on the gums. Gum depigmentation is often combined with smoking cessation for long-term results.
3. Poor Oral Hygiene: Plaque buildup and gum disease can alter gum color over time.
4. Medications: Certain drugs can cause pigmentation changes in oral tissues.
5. Hormonal Changes: Hormonal imbalances may contribute to pigmentation in some cases.
There are multiple techniques used for gum depigmentation, depending on the severity and clinic technology.
1. Laser Gum Depigmentation (Most Popular)
Uses advanced dental lasers to remove melanin pigments
Minimally invasive and painless
Quick healing time
Highly precise
2. Surgical Scraping (Scalpel Method)
Removes pigmented gum layer manually
Slightly invasive
Longer healing period
3. Chemical Method
Uses chemicals to lighten gum color
Less commonly used today
4. Cryosurgery
Freezes pigmented tissues
Rarely used but effective in specific cases
| Feature | Laser Gum Depigmentation | Surgical Method |
|---|---|---|
| Pain Level | Minimal | Moderate |
| Healing Time | 3–5 days | 7–10 days |
| Bleeding | Very minimal | More likely |
| Precision | High | Moderate |
| Cost | Slightly higher | Lower |
| Popularity | Very high | Declining |
Choosing gum depigmentation offers both aesthetic and psychological benefits.
Possible Drawbacks:
Pigmentation may return (especially in smokers)
Mild discomfort post-procedure
Temporary gum sensitivity
Cost varies depending on clinic and technology
Not medically necessary (purely cosmetic)
Despite these, gum depigmentation is considered very safe when performed by experienced dental professionals.
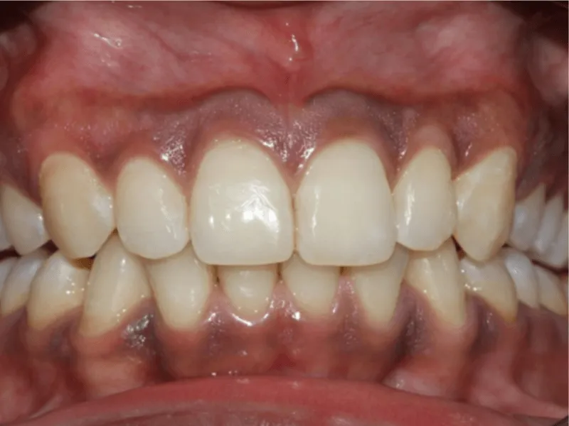
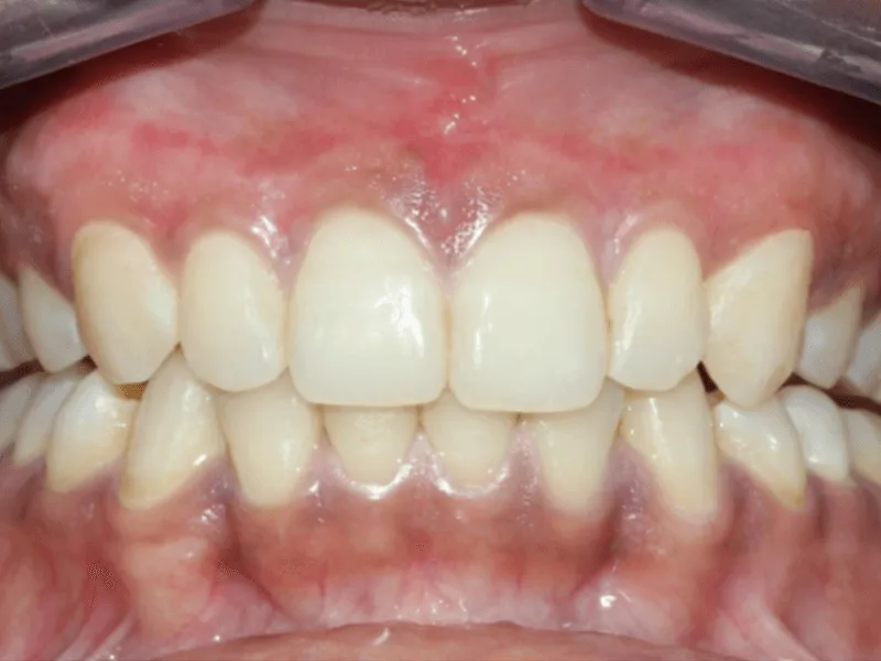
A 28-year-old working professional in Mumbai felt hesitant during client meetings due to visibly dark gums. After undergoing laser gum depigmentation, the patient noticed a significant improvement in smile aesthetics within a week.
The result:


This reflects how gum depigmentation is not just cosmetic, it can impact social and professional life.
Here’s what typically happens during a gum depigmentation session:
Step 1: Consultation
Dentist evaluates gum pigmentation
Medical history review
Discussion of expectations
Step 2: Treatment Planning
Selection of laser or surgical method
Cost estimation
Step 3: Local Anesthesia
Applied to ensure a painless experience
Step 4: Pigment Removal
Laser or scalpel removes dark melanin layer
Step 5: Cleaning & Protection
Area is cleaned and sometimes dressed
Step 6: Recovery Instructions
Avoid spicy foods
Maintain oral hygiene
Follow prescribed medication
The entire gum depigmentation procedure usually takes 30–60 minutes.
The cost of gum depigmentation varies based on clinic location, technology, and expertise.
Average Pricing:
Laser Gum Depigmentation: ₹5,000 – ₹15,000
Surgical Method: ₹3,000 – ₹10,000
In metro cities like Mumbai, gum depigmentation may cost slightly higher due to advanced equipment and specialist expertise.
The results of gum depigmentation can last for years, but this depends on:
In some cases, pigmentation may gradually return, requiring a repeat gum depigmentation procedure.
You are a good candidate for gum depigmentation if:
If you’re considering gum depigmentation, consult an experienced cosmetic dentist to evaluate your condition and recommend the best treatment plan.
Call Now: +91 98197 48168
Call Now: +9198197 48998
Gum depigmentation is fixed through professional dental procedures that remove excess melanin from the gums. The most effective methods include laser gum depigmentation, surgical scraping, and cryotherapy. Among these, laser gum depigmentation is the most preferred due to its precision, minimal discomfort, and faster healing. Consulting a qualified dentist is essential to choose the right gum depigmentation technique based on your gum condition.
Yes, gum depigmentation is considered a safe cosmetic dental procedure when performed by an experienced professional. Modern techniques, especially laser gum depigmentation, are minimally invasive and reduce the risk of bleeding and infection. Side effects are usually mild and temporary, such as slight sensitivity or discomfort. Proper aftercare further ensures the safety and success of gum depigmentation.
The results of gum depigmentation are long-lasting and can remain effective for several years. However, the duration depends on factors such as genetics, oral hygiene, and lifestyle habits like smoking. In some cases, pigmentation may gradually return over time, and a repeat gum depigmentation procedure may be required to maintain pink gums.
In most cases, gum pigmentation does not go away naturally, especially if it is genetic. While quitting smoking or improving oral hygiene may prevent further darkening, existing pigmentation typically requires professional gum depigmentation treatment for noticeable results. Cosmetic procedures are the most reliable way to achieve permanently lighter gums.
To restore natural pink color, gum depigmentation procedures are the most effective solution. Treatments like laser gum depigmentation remove the dark outer layer of pigmented tissue, allowing healthier, lighter gum tissue to appear. Maintaining good oral hygiene, avoiding smoking, and regular dental visits can help preserve the results of gum depigmentation.